Nossa primeira introdução para imagem médica, ocorre quando um médico pede um raio-x ou digitalizar a investigar uma lesão, dor ou sintoma que não pode ser explicado. Podemos ficar sobrecarregados quando vemos o quão complicado, grande e barulhento parte do equipamento é.
muitos tipos diferentes de exames podem ser realizados para investigar Condições e lesões. Por vezes, é necessária mais do que uma das seguintes técnicas de imagiologia médica para permitir que os médicos ofereçam os melhores conselhos sobre as opções de tratamento.
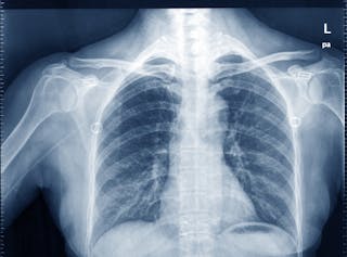
‘raios X’ ou radiografia planar
esta é ainda a forma mais comum, amplamente disponível e mais simples de imagem médica, muitas vezes usada para ver um osso partido. Raios-X são na verdade fótons, ou pequenos pacotes de energia (referidos como radiação ionizante) e formam parte do espectro eletromagnético (assim como a luz visível, microondas e ondas de rádio).
como um feixe de raios x passa através do tecido humano, estes fótons de raios x podem ser absorvidos e desviados por estruturas de tecidos densos, como o osso, e não podem sair do corpo. Outros fótons de raios-x podem encontrar tecido que é menos denso (como músculo) e são capazes de passar por isso facilmente e sair do corpo.
a saída de fótons de raios-x, em seguida, chegar a um receptor de imagem digital ou detector onde eles fornecem um padrão de densidade de tecidos para o receptor digital para converter na imagem de raios-x (ou radiografia) que estamos familiarizados com.
tecido denso, tal como o osso que atenuou o raio-x, parece denso ou branco; Tecido menos denso, tais como os pulmões que estão cheios de ar, parecem menos densos ou escuros, que observamos com um “raio-X torácico”. Outros tecidos do corpo humano têm densidades entre estes dois extremos e aparecem em uma imagem de raio-x como diferentes tons de cinza.
os doentes devem ser tranquilizados esta forma de imagem médica é para a frente, e não deve haver risco ou perigo da radiação quando utilizada correctamente.

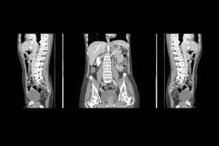
tomografia computadorizada (CT)
esta técnica utiliza um feixe de raios x para produzir imagens transversais do corpo humano. Quando o processo de imagem está ocorrendo, o tubo de raios-x emite continuamente um feixe de raios-x e está girando em um círculo de 360 graus em um dispositivo chamado pórtice.
Enquanto isso está acontecendo, o paciente está deitado em uma tabela de imagem CT especial que está permitindo o raio-x através. O raio-x é em forma semelhante a um ventilador portátil e é muitas vezes descrito como um feixe de ventoinha. Há múltiplos Detectores digitais localizados dentro deste guindaste circular que continuamente identificam a energia dos fótons de raios-x que saem do paciente.
o movimento da mesa e do paciente que se move através do pórtico permite a reconstrução de imagens como fatias (ou tomógrafos) de tecido humano. O exame de tomografia computadorizada mais comum é examinar o peito, abdômen e pélvis de um paciente, e a razão mais comum para isso é identificar a propagação do câncer. “Corantes de raio-X “são injetados em pacientes para identificar o câncer quando usando tomografia computadorizada, como o tecido do câncer vai absorver o” corante de raio-x ” e ser mais óbvio na imagem.
com técnicas de imagiologia de rotina CT, não deve haver quaisquer riscos ou perigos para os doentes a partir dos níveis de radiação utilizados.

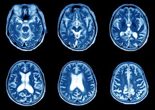
ressonância magnética (MRI)
MRI usa uma combinação de um poderoso íman cilíndrico e ondas de radiofrequência para gerar uma imagem do corpo. É bastante alto e os pacientes devem estar usando dispositivos de Proteção Auditiva adequados, tais como tampões auriculares ou fones de ouvido (onde a música relaxante pode ser ouvida).
os pacientes normalmente estão dentro do cilindro Magneto, e um quadro (que funciona como uma antena) é colocado em torno da área do corpo que precisa ser fotografado, o mais próximo possível, de modo que o sinal máximo possível pode ser detectado a fim de reconstruir imagens altamente detalhadas.
nosso corpo contém hidrogênio, então uma radiofrequência é transmitida para o corpo na frequência que fará com que os átomos de hidrogênio oscilem. Quando a radiofrequência é desligada, os átomos de hidrogênio continuam a oscilar e a frequência desta oscilação é detectada pelo quadro ou antenas.
a radiofrequência causa um sinal de tensão nas antenas, que é identificado como um sinal elétrico. Isto é então digitalizado e uma imagem é reconstruída usando cálculos matemáticos complexos.
a segurança é fundamental para os doentes que fazem uma ressonância magnética, e todos os doentes devem preencher primeiro um questionário de segurança para garantir que são compatíveis com o ambiente de imagem. O questionário de segurança pergunta se os doentes têm quaisquer objectos metálicos implantados, tais como pacemakers ou bombas de perfusão ou dispositivos médicos similares. Isto é porque certos objetos metálicos podem causar danos aos pacientes ou funcionários se eles entram no ambiente de ressonância magnética por causa do íman poderoso.
a aplicação mais comum de IRM é a imagem do cérebro com condições que se relacionam com Neurologia ou neurocirurgia.

tomografia de emissão positrão(PET)
as técnicas de imagiologia utilizadas com raios-x, CT e MRI, são principalmente concebidas para observar informação estrutural – isto inclui o arranjo anatómico e a localização de doenças ou lesões. A imagem PET é um processo único de imagem, uma vez que pode identificar e Imagem informações funcionais tais como metabólicas (a conversão de energia) ou processos químicos de órgãos internos do corpo.
para isso, substâncias radioativas precisam ser injetadas em pacientes e estas são quimicamente ligadas a compostos usados por nossos órgãos (como glicose) ou moléculas que se ligam a receptores específicos ou tipos específicos de células (como proteínas).
estas substâncias radioactivas emitem raios gama (outra forma de radiação ionizante). A partir de sua localização dentro do corpo, os raios gama passam através do tecido e sair do corpo onde eles são detectados por um scanner PET contendo uma câmera gama, enquanto o paciente está deitado ainda.
o scanner PET detecta os raios gama, converte sua intensidade ou força em um sinal elétrico e, em seguida, reconstruir uma imagem baseada nesta intensidade. Os detectores são dispostos em torno do corpo de um paciente para que a localização de origem dos raios gama dentro do paciente pode ser calculada usando processos matemáticos.A imagem PET é excelente para identificar a actividade de tumores em órgãos que não podem ser estruturalmente identificados com outras técnicas de imagem.Técnicas de imagem semelhantes a este têm sido em torno de muitas décadas e técnicas de imagem PET são realizadas quase todos os dias em grandes hospitais em toda a Austrália.

ultrassom
ultrassom usa ondas sonoras para gerar uma imagem médica da anatomia humana, e não tem efeitos prejudiciais conhecidos. A frequência de ultrassom é maior do que as frequências de onda sonora que podem ser detectadas pela audição humana. As ondas sonoras só podem viajar através de um meio, então um gel à base de água precisa ser aplicado na pele, o que permite que o ultrassom seja transmitido do transdutor (ou sonda-a coisa que se moveu sobre a área que está sendo escaneada) para o corpo.
o ultrassom reflete ondas sonoras diferentemente de todos os diferentes tecidos dentro do corpo, quanto mais denso é o tecido, mais ondas sonoras são refletidas e retornadas ao transdutor. Quando o tecido é menos denso, parte das ondas sonoras serão devolvidas ao transdutor e parte do ultrassom será transmitida através deste tecido até atingir um tipo diferente de tecido e o processo continuar (parcialmente refletido e parcialmente transmitido).
quando ondas de ultrassom retornam ao transdutor, as ondas sonoras são convertidas em um sinal elétrico, que é então digitalizado e reconstruído como uma imagem. A imagem é formada calculando a distância de onde as ondas sonoras refletidas interagiram com o tecido e o transdutor, e é calculada sabendo que no tecido humano, o ultrassom viaja a aproximadamente 1.540 metros por segundo.
para muitos exames de ultra-sons, os pacientes são convidados a suster a respiração, de modo que os órgãos internos permanecem ainda enquanto a imagem está ocorrendo. Podem também ser convidados a deslocar-se para determinadas posições.
além de fornecer informações estruturais sobre como a anatomia é organizada, o ultrassom tem o benefício adicional de fornecer informações biomecânicas e funcionais, como também pode imagem em tempo real e observar os músculos e tendões se movendo.
a imagiologia por ultra-sons tem duas aplicações importantes. A primeira é na gravidez e a segunda é para ver se músculos e tendões estão de alguma forma danificados.
